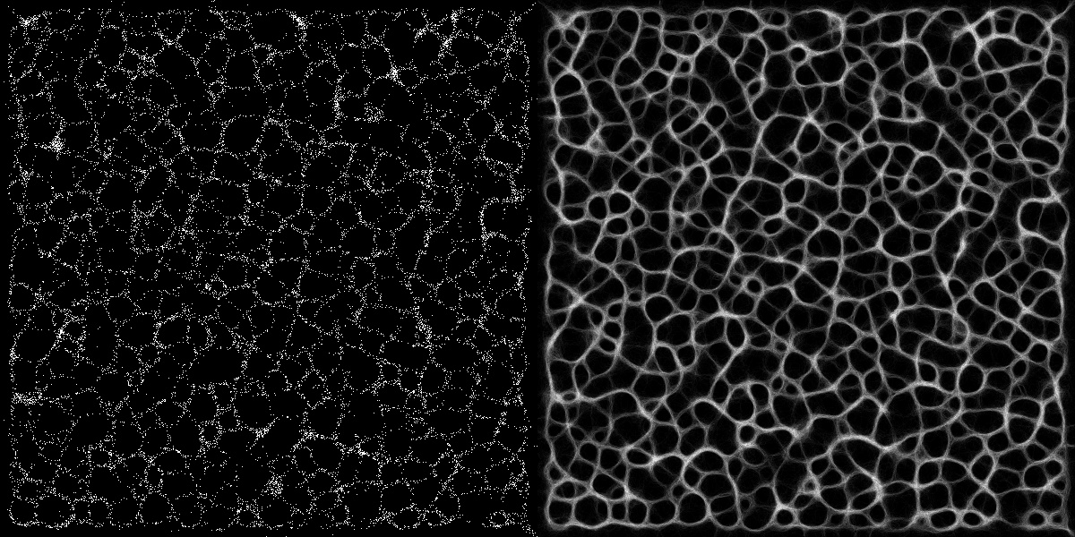
Inspired by works of Sage Jenson and Jeff Jones paper "Characteristics of pattern formation and evolution in approximations of physarum transport networks". Physarum polycephalum is an incredible myxomycete that organizes itself into these complex and visually pleasing networks. Based on a set of simple rules it's possible to model that behaviour and as in another famous celluar automata: Conway's Game of Life, uncover suprising complexity emerging from simplicity.
C++ implementation is available on my github: physarumgen.
All processing is currently being done sequentially on the CPU.
